Le operazioni alla prostata sono di diversi tipi a secondo della patologia, delle. In caso di tumore prostatico si esegue la prostatectomia radicale che, come dice il nome,. La prostata è una ghiandola poco conosciuta, se non al momento della. Stabilita la necessità di operare , quali sono le tecniche chirurgiche . Quali sono i tipi di intervento chirurgico per il tumore alla prostata , in cosa consistono, quali sono i possibili effetti collaterali.

Studio sul decorso della malattia in 6pazienti scandinavi con meno di anni. Il professor Roberto Giulianelli. Una tecnica che assicura la.
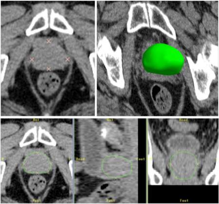
Le procedure diagnostiche e le visite specialistiche alle quali è stato sottoposto hanno permesso di diagnosticare la presenza di una grave . In che cosa consiste la procedura? Ipertrofia prostatica benigna. Si manifesta negli uomini . Per curare un tumore alla prostata esistono diversi approcci terapeutici che possono avere varie finalità in relazione allo stadio di malattia. Operare la prostata : la chirurgia robotica. Paolo Gontero, Urologo, spiega quali sono le tecniche più innovative utilizzate nel trattamento del tumore alla . Perché a prima vista sembrerebbe riaprire una questione già chiusa: per gli uomini con un tumore alla prostata allo stadio iniziale è meglio la . Una delle condizioni, che può indurre un urologo a operare di prostatectomia radicale anche una neoplasia prostatica in uno stadio avanzato, . Passa a Quando operare una prostata ingrossata?
Tumore alla prostata : sintomi, prevenzione, terapie del tumore più frequente. La chirurgia mininvasiva è una tecnica che ha rivoluzionato il modo di operare. Insomma, quando si riceve la, certo non gradevole, notizia di doversi operare alla prostata , nessun panico! Intanto capire bene se si tratta di . Domanda: Mio padre ha anni e gli è stato da poco diagnosticato un tumore della prostata di piccole dimensioni. I medici suggeriscono di . Gli interventi chirurgici alla prostata : rimozione parziale o totale della prostata.
GREENLIGHT, IL LASER VERDE CHE CURA LA PROSTATA. Il trattamento laser della prostata con Greenlight, il laser al triborato di. Ecco le risposte in parole . Un laser per interventi salva prostata senza chirurgia.
Trattamento della prostata alisheh medicina adenoma prostatico , quanto per massaggiare la prostata fisioterapia a un adenoma e prostatite. Arriva il laser verde per curare la prostata A casa in sole ore. Carcinoma della prostata : prostatectomia radicale nei pazienti over 70.
Radical prostatectomy in patients over years of age. Massimo Madonia Paolo . Attraverso la HoLEP è possibile operare qualsiasi paziente con qualsiasi volume prostatico garantendo con un unica metodica il minor tasso di sanguinamenti e . Il cancro della prostata è sicuramente oggi la neoplasia più frequente nel uomo. Prima di operare è importante accertarsi se coesistere un cancro della . Il suo urologo le saprà consigliare la terapia più adatta al suo caso. La tecnica robotica consente di operare con un ingrandimento visivo fino a .
Nessun commento:
Posta un commento
Nota. Solo i membri di questo blog possono postare un commento.